Ortodoncia en Esplugues de Llobregat
Nuestro objetivo: Tus dientes estén sanos, alineados y que a largo plazo se mantengan los resultados.
Para Mimdent el diagnóstico es la base de un correcto tratamiento de ortodoncia. En tu primera vista te dedicaremos todo el tiempo y los recursos necesarios para hacerte una correcta valoración y así proponerte el tratamiento que mejor te funcionará.
Evita malgastar tu tiempo y dinero en hacer tratamientos de ortodoncia que no llevan a ninguna parte.
ESPECIALISTAS CON DEDICACIÓN EXCLUSIVA
Especialistas en Ortodoncia en Esplugues de Llobregat
Nuestros ortodoncistas de clínica Mimdent ejercen su especialidad en exclusiva y están titulados con el máster Oficial. Esto hace que puedan realizar tratamientos de ortodoncia con la tranquilidad y seguridad de obtener los mejores resultados totalmente predecibles.
Tendremos en cuenta si deseas un tratamiento estético, o incluso invisible, un aparato fijo o removible o las opciones más económicas.

¿Cuál es el tratamiento que necesito?
PROXIMIDAD Y PROFESIONALIDAD
Para elegir qué tipo de ortodoncia es la más indicada, valoraremos aspectos fundamentales para que se adapte a tus necesidades.
Cada sonrisa es diferente y por ello creemos que no existe un sistema de ortodoncia único para todos.
Tratamientos de Ortodoncia en Esplugues de Llobregat
El movimiento de los dientes no responde siempre de la misma manera en cada tratamiento. Habrá casos que un sistema dará mejores resultados que otros y esto condicionará el tipo de sistema a utilizar y los resultados que vamos a obtener.
En tu primera consulta te guiaremos y te explicaremos los diferentes tipo de ortodoncia que mejor se adapten a tu caso para conseguir los mejores resultados.
ORTODONCIA INVISIBLE INVISALIGN O ALINEADORES
La ortodoncia invisible es un sistema que utiliza unas fundas transparentes hechas a medida para tus dientes. Estas fundas, llamadas alineadores, se cambian cada 7-15 días por otras nuevas hasta que tus dientes estén en la posición deseada.
La ventaja de este tipo de ortodoncia es que
puedes quitártela para comer y cepillarte los dientes, lo que facilita mantener una buena higiene. Además, como son prácticamente transparente,
casi no se ven. Nadie notará que las llevas puestas.
ORTODONCIA BRACKETS ESTÉTICOS Y METÁLICOS
Los brackets metálicos son el método clásico y efectivo para alinear los dientes. Funcionan muy bien y, además, son los más económicos.
El objetivo de los brackets es mover los dientes poco a poco usando la fuerza justa. Van pegados en la parte de exterior de los dientes (donde se ven) y están unidos por un arco metálico que se va ajustando a medida que avanza el tratamiento.
Podemos elegir entre los brackets metálicos tradicionales o unos más modernos de cerámica blanca, que son más estéticos.
La ventaja de los brackets es que han sido utilizados durante muchos años, demostrando su eficacia en la corrección de la posición dental. Además,
por ser metálicos los hace muy resistentes
y duraderos.
Por qué elegirnos
PROXIMIDAD Y PROFESIONALIDAD en esplugues
Sabemos que estás cansado de leer lo mismo en todas partes: ‘calidad, compromiso, excelencia’. Nosotros preferimos ser claros:
Simplemente, en clínica Mimdent nos dedicamos a lo que sabemos hacer: cuidar de tu salud con el máximo rigor y tratarte como si fueras parte de nuestro equipo.
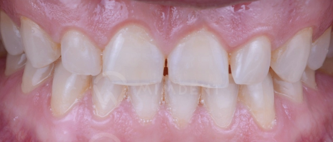
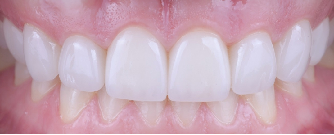
La Sonrisa de Ylenia
Un cambio sencillo con grandes resultados:
Ylenia llegó a Mimdent buscando una solución para mejorar la apariencia de sus dientes. Nos explicó que notaba que sus dientes no estaban alineados y que quería mejorarlos para verse mejor y no tener que estar pensando en ello continuamente.
Después de su visita y valoración, decidimos trabajar con ortodoncia invisible y un pequeño retoque estético al finalizar. Un tratamiento cómodo, discreto y muy eficaz para casos como el suyo. A lo largo del tratamiento, Ylenia pudo notar cómo pequeños cambios de en la posición de sus dientes lograban un cambio notable, sin interferir en su día a día.
El resultado fue una sonrisa perfectamente alineada, pero lo más importante fue cómo este cambio impactó en su día a día. Ylenia se sentía más segura al sonreír y al hablar.
Un ejemplo de cómo incluso un tratamiento sencillo puede generar un impacto tan positivo.


Apasionados en crear sonrisas únicas
REVISIÓN Y DIAGNÓSTICO COMPLETO
NUESTRAS TARIFAS
¿Cuánto cuesta un tratamiento de ortodoncia en Mimdent Esplugues?
¿El precio es lo más importante?
Nosotros opinamos que no. La ortodoncia no deja de ser un tratamiento de salud y creemos que también se debe de valorar el resto de los aspectos que lo rodean, como:
- La FORMACIÓN y la VOCACIÓN del especialista que te acompañara durante todo el camino hasta conseguir los resultados propuestos.
- La
CONFIANZA
y el
TIEMPO
de todo el equipo que se dedicará a tu caso de ortodoncia para que todo salga según lo planificado.
¿Qué opinan nuestros pacientes?
Estamos muy agradecidos a nuestros pacientes por compartir como ha sido su experiencia en nuestra clínica y que nos recomienden a sus familiares y amigos. A continuación, os dejamos algunas valoraciones de Google:
¿Quieres que valoremos tu caso?
REVISIÓN Y DIAGNÓSTICO COMPLETO